experiencejournaldr visitsabout my parentsmilestonesthe pregnancyemail
Dr. Appt. Updates
<< Dec. 9 - 16 wks

Jan. 8th, 20wks.

If you didn't notice the change in the header of the website, we found out we're having a girl!! So very exciting. Little Ella looked perfect. She weighs 13 ounces, right on target for her due date. She was pretty much settled in for a nap, so we only saw her move her arms and feet a little. The ultrasound technician was actually running a half an hour late. If we had gone in on time I think we would have seen her move a lot more. We were almost afraid we wouldn't get to find out the gender because her feet were in the way, but she eventually moved them and the tech got a peek.

The doctor said I'm doing good. I gained only 3 pounds in the last 4 weeks. Pretty good considering the holidays were in those 4 weeks.

I have another regular appointment on February the 9th. Isaac and I are hoping to do the 4D ultrasound later in February. Then we'll really be able to see what Ella looks like.

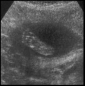
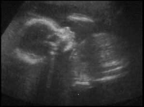
And now for the pictures. I'm only putting up two... they're the best of the lot we got.

  
Here is her profile. To the left is her head, nose, lips, and her right hand is up by her cheek. Then to the right is her torso.
Her footprint. Such precious little feet will eventually keep me up at night.


web site design by Noodle Design (aka "mum mum"), Copyright 2005